
Zâmbetul este cea mai puternică formă de expresie. Conectează oameni, prin exprimarea emoțiilor, sentimentelor, și, cel mai important, prin exprimarea umanității.
Neglijarea bolii parodontale cauzează în timp mult mai mult decât câteva disconforturi zilnice. Parodontoza deteriorează țesutul gingival și osos într-o atât de mare măsură încât dinții își pierd trepat mobilitatea și stabilitatea, ajungând în cele din urmă să cadă.
Parodontita este o afecțiune gravă, cu repercusiuni serioase asupra sănătății generale. Odată ce se instalează, infecția poate afecta întregul organism, nu doar zona orală. Dincolo de problemele locale, parodontoza (sau parodontita, în termeni medicali) poate afecta următoarele zone cu impact asupra sănătății generale:
Parodontoza nu vine întotdeauna însoțită de simptome evidente, iar neluarea măsurilor corespunzătoare va trage după sine costuri din ce în ce mai ridicate în tratarea stadiilor avansate.
Gingivita și pardontita pot fi evitate dacă suntem precauți și serioși în legătură cu îngrijirea dinților și gingiilor. Obiceiurile sănătoase și igiena corespunzătoare sunt esențiale pentru o sănătate dentară generală.
În stadiul inițial al dezvoltării parodontozei (gingivita) este esențial să îndepărtăm placa bacteriană (tartrul) prin vizite regulate la stomatolog.
Următorii pași te vor ajuta în prevenirea bolii parodontale:
Afecțiunile gingivale nu pot fi tratate acasă. Controalele de rutină (la fiecare 6 luni) sunt menite pentru a identifica precoce orice problemă și pentru a interveni încă din stadiile sale incipiente.
Igiena orală adecvată presupune spălarea dinților de cel puțin două ori pe zi și utilizarea aței dentare în fiecare zi. Astfel ne asigurăm ca îndepărtăm cu succes orice resturi de alimente care ar putea provoca inflamații ale gingiilor și să prevenim acumularea de tartru pe suprafața dinților. În cazul în care nu avem posibilitatea de a ne spăla dinții după masa de prânz, clătirea gurii cu apă poate fi o alternativă temporară.
Fumătorii prezintă riscuri de 4 ori mai mari în dezvoltarea afecțiunilor gingivale. Studiile ne arată că stoparea fumatului nu doar că poate preveni parodontoza, ci îi ameliorează simptomele. Fumatul sporește acumularea tartrului și afectează gingiile de fiecare dată.
Chiar și atunci când menținem o igienă orală corectă, consumul de zahăr și alimentele procesate sunt extrem de nocive pentru dantură și întregul corp. Gingiile noastre au nevoie de vitamine și minerale pentru a rămâne sănătoase. O dietă echilibrată, bogată în legume, fructe și alimente cu conținut scăzut de zahăr contribuie la menținerea sănătății generale a gingiilor și a dinților.
Care este legătura dintre stresul cronic și sănătatea orală? Stresul nu afectează doar sistemul imunitar în ansamblu, ci poate duce și la apariția bruxismului (scrâșnitul din dinți). Atunci când suntem tensionați, maxilarul nostru poate deveni rigid, iar în timpul somnului, acest lucru poate conduce la scrâșnirea dinților. Pentru tratarea bruxismului, medicul stomatolog îți poate recomanda purtarea unei gutiere de protecție.
Este recomandat să citim prospectul fiecărui tratament pe care îl urmăm pentru a fi conștienți de eventualele efecte secundare ale acestuia. Medicamente precum cele destinate hipertensiunii arteriale sau contraceptivele orale pot crește riscul de dezvoltare a parodontozei.
Mestecarea alimentelor tari sau desfacerea sticlelor cu ajutorul dinților deteriorează țesuturile gingivale, deoarece aceste obiceiuri pot duce la spargerea sau crăparea dinților.
De asemenea, purtarea protecției dentare în timpul activităților sportive intense este necesară din același motiv, pentru a proteja dinții și gingiile împotriva traumelor și leziunilor care ar putea apărea în urma unor impacturi sau accidente neașteptate.
Periodontita necesită tratamente stomatologice complexe, care poate implica atât proceduri de igienizare, cât și intervenții chirurgicale adaptate la gravitatea bolii. Tratamentul poate consta în intervenții chirurgicale precum chirurgia gingivală și grefele osoase, menite să prevină pierderea dinților și să refacă sănătatea gingiilor. Menținerea igienei orale acasă este cel mai important factor care determină succesul și eficacitatea tratamentului.
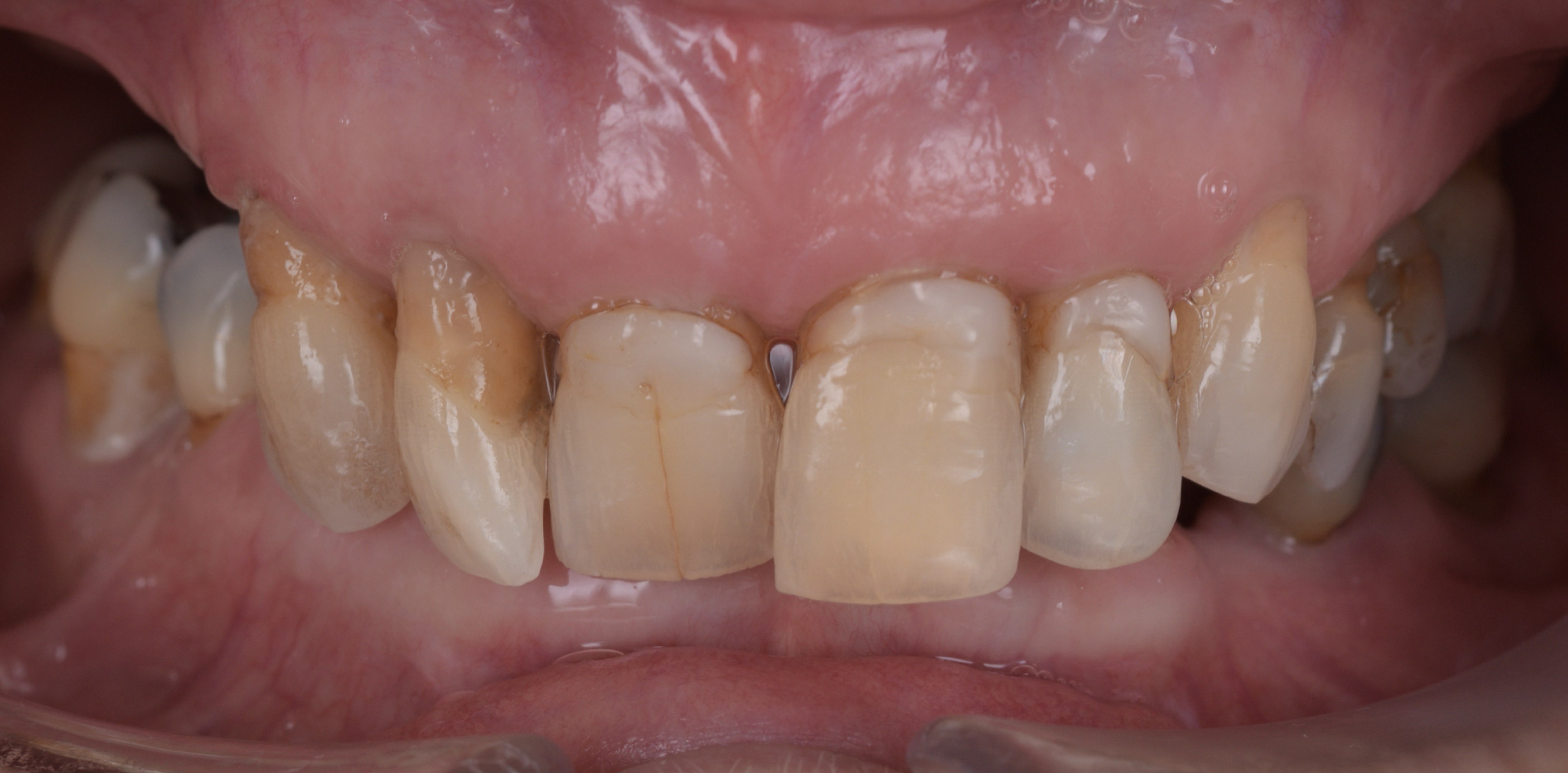
In acest caz, am salvat toți dinții existenți, iar implanturile dentare au fost inserate pentru restaurarea dentiției deja pierdute.



Acest caz a fost tratat All-on-X, deoarece dentitia nu a mai putut fii salvata.





